The Swiss voice in the world since 1935
トップ・ストーリー
スイスの民主主義
ニュースレターへの登録

「国境物語」― 冒険旅行はどのように始まったか

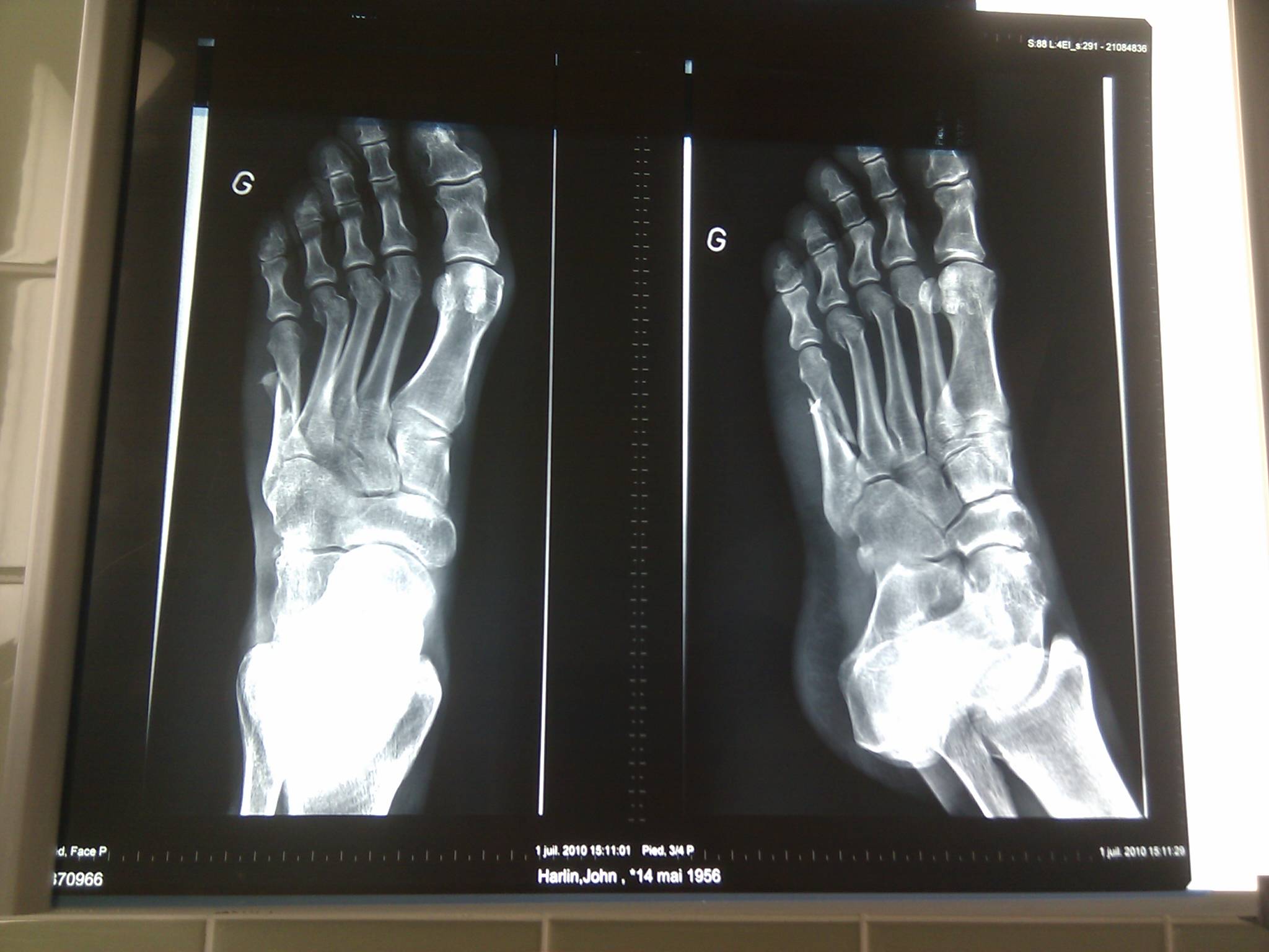
ジョン・ハーリンのスイス国境の旅の第1段階第1部の天国と地獄。

アメリカ人作家で冒険家のハーリン氏は、6月22日徒歩でスイスの国境を辿り始めた。9日後に不運に襲われ、山から転落したときに両足の骨を骨折した。回復したハーリン氏は旅を再開した。

swissinfo.chの記者との意見交換は、こちらからアクセスしてください。

他のトピックを議論したい、あるいは記事の誤記に関しては、japanese@swissinfo.ch までご連絡ください。

SWI swissinfo.ch スイス公共放送協会の国際部

SWI swissinfo.ch スイス公共放送協会の国際部