The Swiss voice in the world since 1935
Historias principales
Swiss democracy

Investigadores japoneses prueban un fármaco para regenerar dientes

afp_tickers

Investigadores japoneses están probando un fármaco pionero que puede hacer crecer dientes nuevos para quienes los hayan perdido, una alternativa a dentaduras falsas e implantes. 

A diferencia de los reptiles o los peces, que reemplazan su dentadura regularmente, los humanos y otros mamíferos en general solo disponen de dos juegos de dientes.

Pero escondidas bajo las encías están las raíces durmientes para una tercera generación, asegura Katsu Takahasi, jefe de cirugía oral en el Instituto de Investigación Médica del Hospital Kitano de Osaka, en el centro de Japón.

Su equipo inició en octubre los ensayos médicos en el Hospital Universitario de Kioto, administrando a adultos este fármaco que, según afirman, tiene la capacidad de impulsar el crecimiento de estos dientes ocultos.

Es una tecnología «completamente nueva» en el mundo, afirma Takahashi a la AFP.

Los tratamientos prostéticos usados ante la pérdida de dientes debido a caries, enfermedades o lesiones a menudo son costosos e invasivos.

«Restaurar los dientes naturales tiene claramente sus ventajas», dice Takahashi, que lidera el proyecto de investigación.

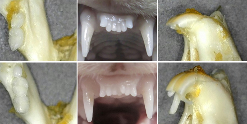
Los ensayos en ratones y hurones sugieren que bloquear una proteína llamada USAG-1 puede activar el tercer juego. Los investigadores han publicado fotografías de laboratorio de animales con dientes regenerados.

En un estudio publicado el año pasado, el equipo dijo que «el tratamiento con anticuerpos en ratones es efectivo para la regeneración de dientes y puede ser un gran avance en tratar anomalías dentales en humanos».

– «Potencial» –

Por ahora, estos dentistas priorizan las necesidades de los pacientes que, por una enfermedad hereditaria, carecen de seis o más piezas en la mandíbula.

Esta enfermedad afecta a un 0,1% de la población, que sufre graves problemas al masticar. En Japón, a menudo se pasan la adolescencia usando una mascarilla facial para esconder los vacíos en su boca, afirma Takahashi.

«Este fármaco podría ser una revolución para ellos», agrega.

Su intención es destinar en primer lugar el fármaco a niños, para que esté disponible en 2030.

Angray Kang, un profesor de odontología en la Universidad Queen Mary de Londres, solo conoce otro equipo con un proyecto similar de usar anticuerpos para regenerar o reparar dientes.

«Diría que el grupo de Takahashi está abriendo el camino», afirma a la AFP el experto en inmunotecnología, que no está vinculado al estudio japonés.

Su trabajo es «ilusionante y vale la pena continuarlo», asegura Kang, quien señala que un tratamiento contra la osteoporosis se basa en unos anticuerpos que atacan una proteína casi idéntica a la USAG-1.

«La carrera para regenerar los dientes humanos no es un esprint corto, sino un conjunto de ultramaratones seguidas», dice. «Esto es solo el comienzo».

Chengfei Zhang, profesor de endodoncia en la Universidad de Hong Kong, considera que este método es «innovador y alberga potencial».

Pero «la afirmación de que los humanos disponen de unas raíces latentes capaces de producir un tercer juego de dientes es a la vez revolucionario y controvertido», detalla.

«Los resultados observados en animales no siempre se trasladan a los humanos», explica el experto, que también se pregunta «si los dientes regenerados pueden reemplazar funcional y estéticamente a un diente perdido».

– Primero, la seguridad –

Takahashi argumenta que la ubicación del nuevo diente en la boca puede ser controlado, incluso de forma preciso, según el lugar donde se inyecte el fármaco.

Y si crece en un lugar equivocado, puede moverse a través de ortodoncia o trasplante, agrega.

Por ahora la primera fase de los ensayos clínicos no cuenta con pacientes jóvenes que sufran esta enfermedad congénita porque el objetivo principal de la prueba es la seguridad del fármaco, no tanto su efectividad.

Así que por ahora los participantes son adultos sanos que han perdido al menos un diente.

Aunque no sea por ahora la prioridad, los científicos afirman que hay posibilidades de que algunos pacientes ya empiecen a regenerar dientes, lo que demostraría la efectividad del tratamiento y supondría un triunfo médico.

«Estaría contentísimo si eso ocurriera», dijo Takahashi.

La noticia sería especialmente bienvenida en Japón, que presenta la segunda población más envejecida del mundo.

Los datos del Ministerio de Salud muestran que más del 90% de ciudadanos japoneses de 75 años o más carecen de al menos un diente.

«Tenemos mucha confianza en que nuestra tecnología pueda extender su esperanza de vida saludable», afirma Takahashi.

tmo/kaf/sco/pdw/cwl/dbh/pb

Los preferidos del público

Los más discutidos

SWI swissinfo.ch - Sociedad Suiza de Radio y Televisión SRG SSR

SWI swissinfo.ch - Sociedad Suiza de Radio y Televisión SRG SSR